Hostname: page-component-857557d7f7-zv5th Total loading time: 0 Render date: 2025-12-08T09:41:56.465Z Has data issue: false hasContentIssue false

A child with spontaneous resolution of idiopathic mid-aortic syndrome presented with dilated cardiomyopathy

Published online by Cambridge University Press:  02 December 2024

Beom Jae Kim
Affiliation:
Department of Pediatrics, Seoul National University Children’s Hospital, Seoul National University College of Medicine, Seoul, South Korea
Gi Beom Kim*
Affiliation:
Department of Pediatrics, Seoul National University Children’s Hospital, Seoul National University College of Medicine, Seoul, South Korea
Sang Yun Lee
Affiliation:
Department of Pediatrics, Seoul National University Children’s Hospital, Seoul National University College of Medicine, Seoul, South Korea
*
Corresponding author: Gi Beom Kim; Email: ped9526@snu.ac.kr

Abstract

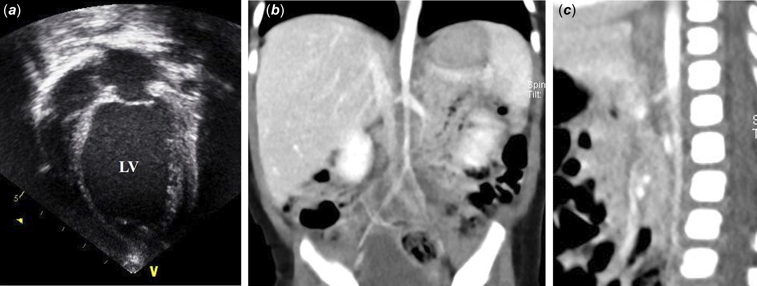
Mid-aortic syndrome is an uncommon vascular disease characterised by lower thoracic and upper abdominal aorta stenosis and can occur even in neonatal or infant periods. Here, we report an interesting case of a 2-month-old female with diffuse hypoplasia of the lower abdominal aorta and secondary dilated cardiomyopathy. In our patient, her abdominal aortic narrowing spontaneously normalised over time with the administration of consistent and goal-directed heart failure therapy, supporting adequate growth and natural recovery.

Information

Type
Brief Report
Copyright
© The Author(s), 2024. Published by Cambridge University Press

Access options

Get access to the full version of this content by using one of the access options below. (Log in options will check for institutional or personal access. Content may require purchase if you do not have access.)

Article purchase

Temporarily unavailable

References

Rumman, RK, Nickel, C, Matsuda-Abedini, M, et al. Disease beyond the arch: a systematic review of middle aortic syndrome in childhood. Am J Hypertens 2015; 28: 833846.CrossRefGoogle Scholar
Forman, N, Sinskey, J, Shalabi, A. A review of middle aortic syndromes in pediatric patients. J Cardiothorac Vasc Anesth 2020; 34: 10421050.CrossRefGoogle ScholarPubMed
Lazea, C, Al-Khzouz, C, Sufana, C, et al. Diagnosis and management of genetic causes of middle aortic syndrome in children: a comprehensive literature review. Ther Clin Risk Manag 2022; 18: 233248.CrossRefGoogle ScholarPubMed
Musajee, M, Gasparini, M, Stewart, DJ, Karunanithy, N, Sinha, MD, Sallam, M. Middle aortic syndrome in children and adolescents.Glob Cardiol Sci Pract 2022; 2022: e202220.Google ScholarPubMed
Zhao, L, Zhu, L, Zhao, QM, et al. Mid-aortic syndrome: a rare cause of heart failure in infants. ESC Heart Fail 2022; 9: 36193624.CrossRefGoogle ScholarPubMed
Izraelit, A, Kim, M, Ratner, V, Levasseur, SM, Seigle, R, Krishnamurthy, G. Mid-aortic syndrome in two preterm infants. J Perinatol 2012; 32: 390392.CrossRefGoogle ScholarPubMed
Hirsch, JS, Hong, S. The demystification of secondary hypertension: diagnostic strategies and treatment algorithms. Curr Treat Options Cardiovasc Med 2019; 21: 90.CrossRefGoogle ScholarPubMed
Delis, KT, Gloviczki, P. Middle aortic syndrome: from presentation to contemporary open surgical and endovascular treatment. Perspect Vasc Surg Endovasc Ther 2005; 17: 187203.CrossRefGoogle ScholarPubMed
Chalmers, RT, Dhadwal, A, Deal, JE, Sever, PS, Wolfe, JH. The surgical management of renovascular hypertension in children and young adults. Eur J Vasc Endovasc Surg 2000; 19: 400405.CrossRefGoogle ScholarPubMed
Thompson, JL, Sprouse, K, Mir, A, Burkhart, HM. Successful staged management of neonatal midaortic syndrome. J Thorac Cardiovasc Surg 2019; 157: e281e283.CrossRefGoogle ScholarPubMed